Shivaay Dental Clinic

Floating Icons

    Bridal Dental Makeover

    cebed27f 3bcf 4423 9987 e91c90ada667

    Dental jewellery

    Dental jewellery, also known as tooth jewellery or tooth gems, is a decorative accessory applied to a tooth's surface for aesthetic purposes.
    dd3d9588 f4f8 42e4 b28b 3dabd2294e62

    Smile Makeover

    A smile makeover refers to a series of cosmetic dental procedures designed to improve the appearance of a person's smile.
    f59b7f4b b5da 4f92 b4d8 6bb3386c7dbd

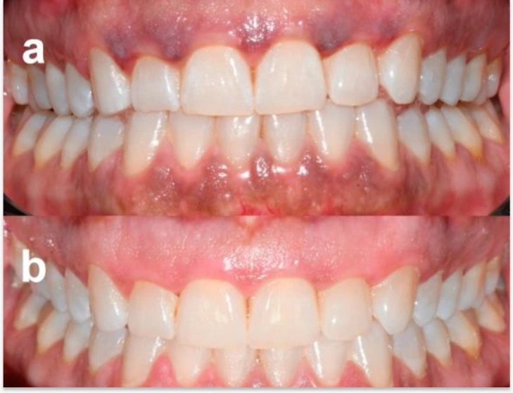
    Gingival Depigmentation

    Gingival depigmentation, also known as gum depigmentation or gum bleaching, is a cosmetic dental procedure aimed at reducing..
    Scroll to Top
    Call Now Button